Lucia Diéguez

15 febrero 2021

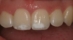
Hipomineralización incisivo molar: qué és y cómo se trata

¿Qué es la hipomineralización incisivo molar? El origen de la hipomineralización incisivo molar (HIM) se asocia a factores que pueden influir durante la época de calcificación del esmalte […]
1 febrero 2021

¿Cómo ayuda la ortodoncia a tu salud?

No hay duda de las múltiples ventajas que la ortodoncia aporta a la salud bucodental pero también a la salud en general. Unos dientes rectos y […]
16 enero 2021

Fases de un tratamiento de ortodoncia

Una mala alineación de los dientes, alteraciones en la función masticatorian u otras complicaciones bucodentales nos impiden tener la una bonita sonrisa, algo que todos deseamos […]
10 enero 2021

¿Cómo afectan las bebidas gaseosas a los dientes?

Efectos de las bebidas gaseosas en los dientes Nuestra dieta determina gran parte de nuestra salud bucodental. Tanto las bebidas, los alimentos, como los hábitos que […]
4 enero 2021

Masticar chicle: ventajas e inconvenientes

Pacientes que acuden a Clínica Dental Lucía Diéguez, en Ourense, suelen preguntarnos si es aconsejable para su salud bucal masticar chicle. Se trata de una acción […]
23 noviembre 2020

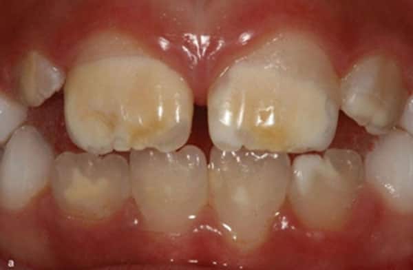
Dientes de Turner o hipoplasia del esmalte

La hipoplasia del esmalte es la condición que resulta de tener menos esmalte de lo normal y se manifiesta con manchas o cambios de color en […]
18 octubre 2020

El 31% de los niños españoles menores de 6 años tiene caries

Caries: un problema de salud pública 2.300 millones de personas padecen caries en todo el mundo y más de 530 millones de niños sufren esta patología […]
10 octubre 2020

Cáncer de mama y salud bucal

Los tratamientos oncológicos para combatir el cáncer de mama pueden ocasionar problemas en la salud oral En Centro Dental Lucía Diéguez contamos con un equipo multidisciplinar […]
4 octubre 2020

El estrés castiga a tu salud bucodental

Son pocas personas las que es este año de pandemia no están sufriendo de estrés. Y todos sabemos lo perjudicial del estrés para la salud. La […]