Estética Dental

12 mayo 2019

Sonreír nos hace más felices y, además, mejora la salud física y mental

Sonreír nos hace más felices  Cuando conocemos a alguien, su sonrisa es una de las primeras cosa que percibimos; y si nos sonríe, lo más probable […]
18 marzo 2019

Ortodoncia lingual: ¿cómo superar los primeros días?

La ortodoncia lingual Incognito es uno de los tratamientos de ortodoncia más discretos que existen actualmente, ya que los brackets van colocados en la parte interior […]
24 enero 2019

Mordida cruzada: qué es, tipos y tratamientos de ortodoncia

Mordida cruzada, una maloclusión muy común en las clínicas de ortodoncia La mordida cruzada es uno de los problemas de maloclusión más comunes en las consultas […]
20 diciembre 2017

El miedo al dentista impide un adecuado cuidado de la salud bucodental

¿Cuánto te preocupa tu salud bucodental? ¿Cuánto te preocupa tu salud bucodental? ¿El miedo al dentista te paraliza a la hora de acudir a revisión a […]
18 noviembre 2017

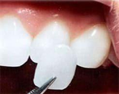
Carillas dentales: cómo cuidarlas

Carillas dentales, odontología estética Las carillas dentales son un tratamiento de odontología estética cuya finalidad es mejorar el aspecto de tu sonrisa. Con este tratamiento, de forma rápida, sencilla, indolora […]
13 enero 2017

Alimentación y salud bucodental

Llevar una alimentación sana y equilibrada influye en tu salud general y en tu salud bucodental. En la página de Facebook de Centro Dental Lucía Diéguez hemos […]
2 enero 2017

Implantes dentales durante el embarazo

¿Puedo realizarme un tratamiento de implantes dentales durante la gestación? La colocación de implantes dentales es un tratamiento no solo estético sino también necesario para la […]
22 diciembre 2016

¿Cómo afecta el estrés a la salud bucal?

El estrés afecta a la salud bucodental. La boca no es ajena a las reacciones que la tensión física y emocional desencadenan en el cuerpo. Vivimos […]
18 octubre 2016

Tratamientos para lucir unos dientes blancos

¿A quién no le gusta tener unos dientes blancos? Cada vez nos preocupamos más por la estética de nuestra sonrisa; por tener unos dientes alineados y […]