

La última fase de la ortodoncia se inicia cuando el ortodoncista retira los aparatos. Se conoce como fase de retención y el objetivo es mantener los dientes en la posición correcta a través del uso de retenedores especiales. Esta fase es tan importante, o más, que el tratamiento ortodóncico en sí mismo, porque es en esta fase en la que se estabilizarán los resultados que hemos conseguido con tanto esfuerzo a lo larto de todo el tratamiento.
Tambien durante esta fase es muy importante seguir las indicaciones del ortodoncista y su equipo. Los dientes tienen la tendencia natural de moverlos, pero aún más tras un tratamiento de ortodoncia, por ello es importante llevar aparatos retenedores al menos durante el primer año tras la retirada de la ortodoncia y por las noches.
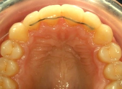
Los aparatos que se suelen utilizar en la fase de retención pueden ser fijos o removibles. La diferencia es que los fijos van como su término indica fijos en la parte interna del diente y no se pueden quitar, mientras que los removibles se pueden quitar y poner.

A veces se utilizan los dos tipos de retenedores combinándolos de manera simultánea para mayor seguridad en los resultados.
El paciente debe acudir a la consulta del ortodoncista una o dos veces al año para hacer un seguimiento del estado de las retenciones pero también de los resultados del tratamiento de ortodoncia.